診療案内
新型コロナウイルス感染拡大防止について
緊急事態宣言を受け、診療を制限させていただいております。急患対応につきましても、お断りさせて頂く場合がございますのでご了承くださいませ。
感染拡大防止のため事前の問診を必ず実施しております。患者様の体調によってはお受けできない場合や予約時間の調整を行わせて頂く場合がございますのでご理解・ご協力の程宜しくお願い致します。
診療科目:歯科一般・小児歯科
診療時間:平日 :AM 9:00〜 PM 6:30
:土曜日:AM 9:00〜 PM 5:00
:日曜日:AM 8:45〜 PM 12:30
休診日:木曜日・祝日
新患随時受付
各種健康保険取扱い
※土日診療致しております。
※チャイルドスペース(幼児向け玩具常備)
※駐車場あり
※口腔内モニター完備
(虫歯、歯ぐきの状態等をモニターに映し出します。)
キッズスペースもございます

当院では、お子様向け玩具とチャイルドスペースもご用意しております。
お子様とご一緒にご来院の際、安心して治療を受けられますよう、
診療中は当医院スタッフがお子様のお相手をさせて頂きますので、
ご希望の方はお気軽にお声掛け下さい。
かばの町歯科医院の特徴
地域の皆様のかかりつけの歯科医院を目指しております

かばの町歯科医院では、患者様お一人お一人に症状に合った治療方法をご提案して治療を行っております。全身の健康と深い繋がりを持つ歯は、早期治療と定期的な検診が重要です。お口全体を診査しながら長期的に長持ちする歯科治療を行い、見た目も美しい、健康な歯をつくるお手伝いをしてまいります。当院では、小さいお子様からご年配の方まで、幅広い年代の患者様方がお気軽に通えるような医院を目指しておりますので、お口のことで気になることなどがありましたら、ぜひご相談にいらしてください。
医院設備・特徴
・土日診療をしております。
・キッズスペースがあります。
・駐車場スペースがあります。
・口腔内モニターがあります。
入れ歯・義歯について(ノンクラスプデンチャー:見た目の美しさを実現)
かばの町歯科医院では、様々な種類の義歯をご提供しております。金属の見えない入れ歯など、見た目の美しさを実現した、簡単に取り外しができるタイプの義歯などもご用意しております。患者様お一人お一人のご要望をしっかりとお伺いし、より患者様の症状に合った義歯をご用意いたします。
入れ歯・義歯について(コンフォートデンチャー:驚くほどの吸着力を発揮)
※コンフォートデンチャーは生体用シリコーンで被覆されています
「コンフォートデンチャー」は硬い入れ歯の裏面を生体用シリコーン(クッション材料)で覆う、全く新しい入れ歯の技術です。
生体用シリコーン(クッション材料)の弾性が、入れ歯で噛んだときの歯ぐきの負担をやわらげます。
※「コンフォートデンチャー」は粘膜にやさしくフイットします
「コンフォートデンチャー」は驚くほどの吸着力を発揮して「痛い・噛めない・外れやすい」といった、従来の入れ歯の悩みを解消して、自然な感覚で使用することができるので、より美味しく食事が楽しめます。
入れ歯・義歯について(金属床・部分入れ歯:違和感が少なく快適)
保険の入れ歯と比べて材質が薄くて、口の中の違和感が少なく快適です。
白く美しく歯にコーティング「ラミネートべニア」について
ラミネートべニアとは、歯の表面をごくわずかだけ削って、歯の表面にセラミック製のごく薄いシェルと呼ばれる板状のものを接着し、見かけをきれいに改善する方法です。歯が変色していたり、歯と歯の間に少し隙間がある場合などに有効な修復方法です。
白く美しく歯のつめ物・かぶせ物「セラミックインレー・クラウン」について
セラミックのつめ物・かぶせ物で、自然な白い歯の輝きを口元に映し出します。
永年の使用にも変色しません。
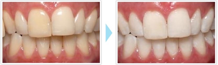
歯を白くする「ホームホワイトニング」について
ご家庭で簡単にできるホームホワイトニング
歯科医院で歯の型取りを行い、ホワイトニング専用のマウスピースを作製して、ご自宅でホワイトニングジェル(薬剤)をマウスピースに塗布し装着するだけです。
一日に数時間程度装着して、1週間から2週間続けますと効果が現れ、効果が現れない場合には更に続ける場合があります。
ホワイトニングを行う場合、歯の表面に着色や汚れが付着していると、薬剤の効果が十分に発揮されないので、ホワイトニング前にクリーニングをします。
歯のクリーニングとホワイトニングの違い
歯のクリーニングは表面の着色や汚れを落として、歯本来の白さに戻します。
歯のホワイトニングは専用の薬剤で歯の色素を分解し歯の色そのものを白くします。
マウスガードについて
当院では、マウスガードにも対応しております。マウスガードは顎とお口周辺の衝撃を和らげる役割を持ち、歯だけではなく、顎関節の保護、また顎部の骨折の予防など様々な作用をもっています。


